Zum Inhalt springen

KitziBlog

Leben und Radfahren in Mainfranken – Bilder sagen mehr als Worte

  • Kalender nicht nur aus Mainfranken für 2026
  • Impressum und Datenschutzerklärung

Tag: 8. Januar 2018

Veröffentlicht am 8. Januar 2018

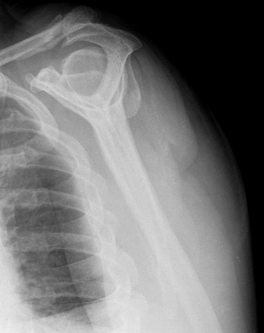
Sturz von der Treppe

So sieht es aus wenn man von der Treppe stürzt und auf eine 37 Jahre alte Verletzung fällt.

röntgenbild-Dezember-2017

röntgenbild-Dezember-2017---2

Was gibt es Neues

  • Depesche # 3190: Grandioser Sonnenaufgang und das Eichhörnchen ist das Gartentier des Jahres 28. April 2026
  • Depesche # 3189: Entspannungstour am Main 27. April 2026
  • Depesche # 3188: Vor 40 Jahren Nuklearkatastrophe von Tschernobyl und Schmierereien bei der LKW in Kitzingen 26. April 2026
  • Depesche # 3187: Herrliches Radlerwetter 25. April 2026
  • Depesche # 3186: Sommerliche Temperaturen 24. April 2026
  • Depesche # 3185: Test-Graveltour durch die Klinge 23. April 2026
Januar 2018
M D M D F S S
1234567
891011121314
15161718192021
22232425262728
293031  
« Dez.   Feb. »

Mir hats geholfen

Im Leben kommt es nicht darauf an wie oft einem das Schicksal durch irgendeine Hölle schickt, sondern das man die nötige innere Kraft besitzt um den Weg wieder zurück zum Licht und zum Leben zu finden.

Bewegung bewirkt Wunder im Kopf ohne Beipackzettel und Nebenwirkungen.

Der Geist entwickelt sich mit den Waden

 

A year before

  • 29.04.2025: A weng naus # 2967 - Herrliches Radlerwetter und kuriose Radwegeneugestaltung bei Volkach
  • 30.04.2025: Radtipp#1 - Familienfreundliche Tour mit Softeis
  • 30.04.2025: Radtipp#2 - Feierabend Graveltour rund um Kitzingen
  • 30.04.2025: A weng naus # 2968 - Lieblingsrunde
  • 30.04.2025: Radtipp#3 - Feierabendrunde über den Mainradweg von Kitzingen nach Randersacker und weiter über Rottendorf nach Dettelbach und zurück nach Kitzingen!










Impressum und Datenschutzerklärung Stolz präsentiert von WordPress